Konya Ereğli Periodontoloji (Diş Eti Hastalıkları)
Konya Ereğli Mercan Diş Kliniği'nde diş eti kanaması, diş eti çekilmesi ve implant çevresi hastalıkları için uzman periodontoloji tedavileri.

Konya Ereğli'de Diş Eti Sağlığı ve Tedavileri
Diş sağlığı sadece dişlerin beyaz görünmesiyle sınırlı değildir; dişleri çevreleyen ve destekleyen dokuların sağlığı da en az dişler kadar önemlidir. Periodontoloji, diş eti hastalıklarını inceleyen ve tedavi eden bilim dalıdır. Konya Ereğli diş eti tedavisi alanında hizmet veren Mercan Diş Polikliniği, diş eti kanamalarından çekilmelere kadar pek çok soruna uzman yaklaşımıyla çözüm sunmaktadır. Sağlıksız diş etleri, zamanla diş kayıplarına yol açabilecek ciddi enfeksiyonlara zemin hazırlayabilir.
Diş Eti Hastalıkları Nedir?
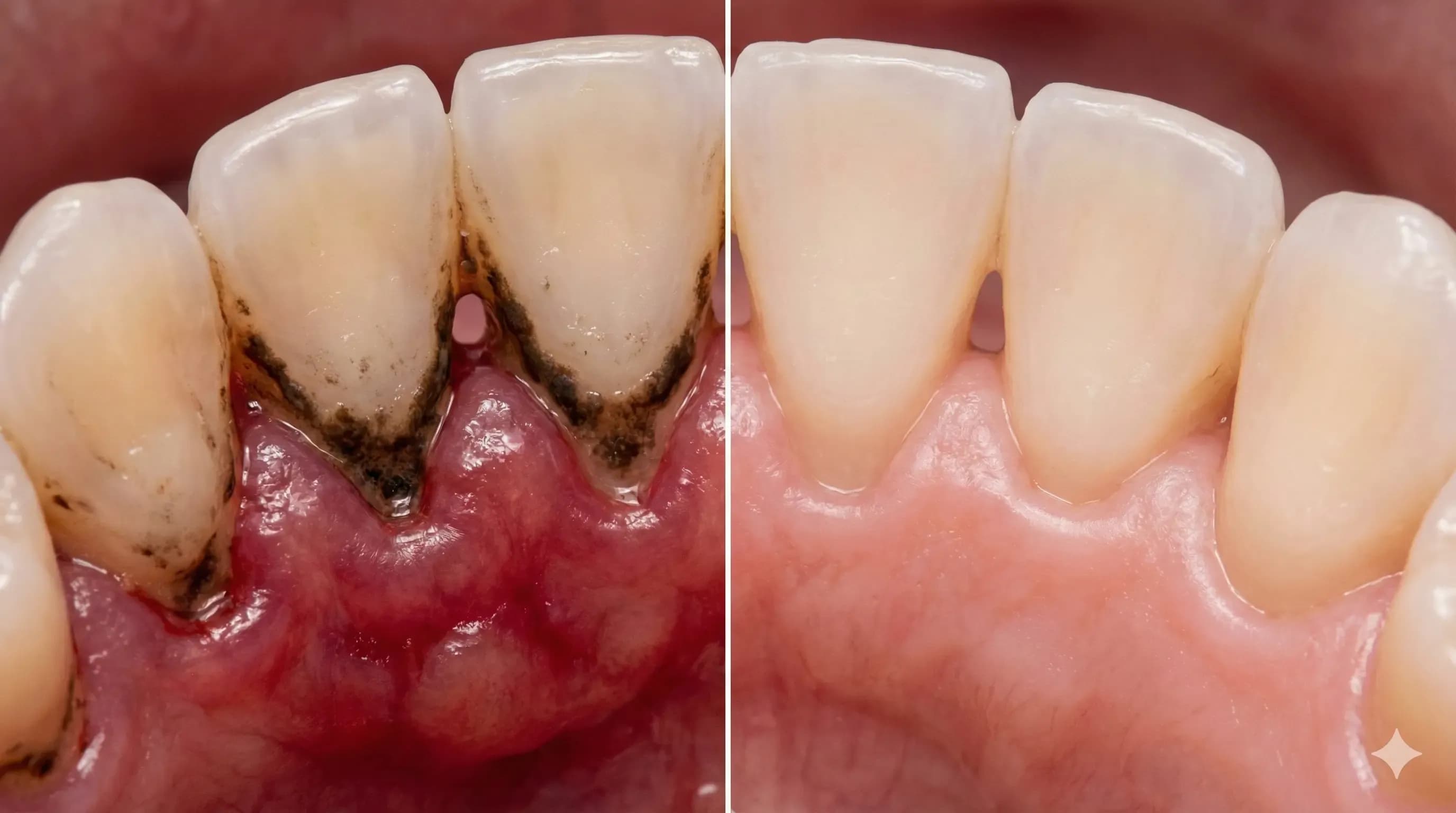
Diş eti hastalıkları genellikle bakteri plağının birikmesiyle başlar. Plak, zamanla diş taşına (tartar) dönüşerek diş etlerinde iltihaplanmaya neden olur. Erken dönemde teşhis edilmeyen diş eti problemleri, ilerleyen süreçte çene kemiğinde erimelere ve dişlerin sallanarak dökülmesine sebep olabilir. Ereğli periodontoloji kliniğimizde bu hastalıkların erken teşhisi ve tedavisi büyük önem taşımaktadır.
Gingivit ve Periodontit
Diş eti iltihabının başlangıç seviyesine Gingivit denir; diş etlerinde kızarıklık, şişlik ve fırçalama sırasında kanama ile kendini gösterir. Tedavi edilmezse hastalık Periodontit evresine geçer. Bu aşamada enfeksiyon diş etinden kemik dokusuna yayılır ve diş eti cepleri oluşur.
Konya Ereğli'de Diş Eti Tedavi Yöntemlerimiz
Mercan Diş Polikliniği olarak, diş eti hastalıklarının tedavisinde modern yöntemler kullanıyoruz. Tedavi planı hastalığın şiddetine göre belirlenir:
- Diş Eti Tedavisi ve Temizliği: Başlangıç seviyesindeki rahatsızlıklarda, profesyonel diş taşı temizliği ve plak uzaklaştırma işlemi olan genel diş eti tedavisi uygulanır. Bu işlemle diş etlerinin sağlığına kavuşması sağlanır.
- Subgingival Küretaj: Hastalığın ilerlediği ve diş eti ceplerinin oluştuğu durumlarda, diş kök yüzeylerinin ve ceplerin derinlemesine temizlenmesi işlemi olan küretaj tedavisi uygulanır. Bu işlem, dokuların iyileşmesini ve dişe yeniden yapışmasını sağlar.
Belirtiler ve Teşhis
Diş etlerinizde kanama, şişlik, kızarıklık, ağız kokusu veya dişlerde uzama (diş eti çekilmesi) fark ediyorsanız vakit kaybetmeden hekiminize başvurmalısınız. Konya Ereğli kliniğimizde yapılan detaylı muayene ve radyolojik görüntülemelerle hastalığın seviyesi tespit edilir. Erken teşhis, tedavinin başarısını artıran en önemli faktördür.
Tedavi Sonrası Bakım
Periodontal tedavilerin başarısı, sadece hekimin müdahalesine değil, hastanın ağız hijyenine gösterdiği özenle de yakından ilişkilidir. Tedavi sonrası düzenli diş fırçalama, diş ipi kullanımı ve 6 ayda bir yapılan kontroller, hastalığın tekrarlamasını önler. Uzmanlarımız, size özel ağız bakım eğitimi vererek bu süreci destekler.
Dişlerinizin temeli olan diş etlerinizi ihmal etmeyin. Sağlıklı diş etleri ve ferah bir nefes için Konya Ereğli Mercan Diş Polikliniği periodontoloji bölümünden randevunuzu alın. Uzman hekimlerimizle diş eti sağlığınızı koruma altına alın.
Sık Sorulan Sorular
Diş eti hastalıkları tehlikeli midir?
Diş eti tedavisi ağrılı mıdır?
Diş eti hastalığı nasıl önlenir?
Hangi Tedaviye İhtiyacınız Olduğundan Emin Değil misiniz?
Uzman hekimlerimiz size en uygun tedavi planını oluşturmak için ücretsiz muayene hizmeti sunmaktadır.
Hemen Arayın







